
ORTHO.PL Ortodonta Zdrowego Uśmiechu Dzieci i Dorosłych Wrocław
Lokalizacja
Ladowanie mapy...
Buforowa 34, 52-131 Wrocław, Polska
O firmie
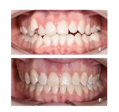
ORTHO.PL Ortodonta Zdrowego Uśmiechu Dzieci i Dorosłych to klinika stomatologiczna we Wrocławiu, zlokalizowana przy ul. Buforowej 34 (kod pocztowy 52-131). Specjalizuje się w ortodoncji i stomatologii dla pacjentów w każdym wieku, oferując kompleksową opiekę – od higienizacji i leczenia kanałowego po zakładanie aparatów ortodontycznych. Gabinet cieszy się wysoką oceną na Google – 4.7/5 na podstawie 192 opinii, co świadczy o solidnej reputacji wśród wrocławian. Pacjenci chwalą przede wszystkim profesjonalizm zespołu, w tym dr Kingę Saletrę za precyzyjne odbudowy zębów, dr Małgorzatę Fijewską za delikatne leczenie oraz higienistkę Katerynę Sudenko za dokładną higienizację i wybielanie. Szczególne uznanie zdobywa dr Maciej za podejście do dzieci – wizyty przebiegają w przyjaznej atmosferze, z dokładnym omówieniem planu leczenia, co buduje zaufanie nawet u najmłodszych. Rodzice podkreślają efekty terapii aparatami ortodontycznymi, jak bioblocki, i brak stresu podczas wizyt. Personel, w tym asystentki jak Marina czy Alicja, jest opisywany jako empatyczny i zgrany. Choć pojawiają się pojedyncze uwagi dotyczące organizacji terminów czy czasu oczekiwania na wyniki badań, ogólna opinia wskazuje na klinikę wartą polecenia rodzinom szukającym rzetelnej opieki stomatologicznej we Wrocławiu. (198 słów)
Co mowia klienci
“Opinie są w większości bardzo pozytywne (głównie 5/5), chwalące profesjonalizm personelu, zwłaszcza w leczeniu dzieci i ortodoncji. Pacjenci podkreślają miłą atmosferę, dokładne wyjaśnienia i widoczne efekty leczenia. Pojawiają się pojedyncze krytyczne głosy dotyczące organizacji i cen.”
Mocne strony
- Wyjątkowe podejście do dzieci – cierpliwość, uśmiech i brak stresu
- Profesjonalizm lekarzy (dr Kinga Saletra, Pan Maciej, dr Małgorzata Fijewska)
- Skuteczne leczenie ortodontyczne z widocznymi efektami
- Miła atmosfera, dokładne wyjaśnienia i nowoczesny sprzęt
- Kompleksowa opieka od rejestracji po zabieg
Do poprawy
- Problemy organizacyjne (dublowane terminy, trudności z RTG)
- Wysokie ceny za podstawowe wizyty
- Ryzykowne propozycje leczenia od młodych lekarzy
Idealne dla
Rodziny z dziećmi, szczególnie szukające ortodoncji i stomatologii z empatycznym podejściem do najmłodszych.
Kategorie
Podobne firmy w okolicy

Orto Face - Ortodonta Wrocław
M-dent Magdalena Nadolna-Karpińska

mf.dent STOMATOLOGIA - ortodoncja, Invisalign, protetyka, endodoncja, stomatologia

Prime Dental

Centrum Ortodontyczne OrthoLine Patrycja Downarowicz

Ortodonta OrthoTeam Stomatologia Warmuz - Implanty zębowe
Inne firmy w okolicy
Wiktoria 34 – Przyjęcia Okolicznościowe

PCfy - Informatyk 24/7 i Pogotowie Komputerowe

WZN Zarządzanie Nieruchomościami oddział Wrocław

Remont Wrocław Wykończenie mieszkania, Glazurnik - Firma Remontowa BCS Glazura

ELECTRIC PRO NAJLEPSZY ELEKTRYK

SOBKÓW K9 – Szkolenie psów Wrocław

Joanna Pronobis Makeup

TortOla Cukiernia. Torty na zamówienie, Lody, Ciasta Jagodno

Hydro-Instal Technika Grzewcza i Sanitarna Wrocław Krzysztof Jankowski

Fotograf Ślubny Wrocław | Szklane Oko

Pracownia tortów ivi

Gabinet Logopedyczny Terapia Integracji Sensorycznej

Serwis samochodowy "Jedzie Warsztat" Wrocław Jagodno
Pracownia fryzjerska Izabela Czarnecka

Szklarz Wrocław - Alisglass

Radca Prawny Magdalena Piechota-Młot - rozwody, alimenty, prawo rodzinne | Wrocław

Karuzela Pizza Food Truck

Multigranit Jakub Gajda
Zapłon

Manufaktura Mebli Kuchnie na wymiar Stolarz Wrocław